Fibroma - Yumurtalık Tümörü, Yumurtalık Kisti
Fibroma, yumurtalıkta nodüller şeklinde ortaya çıkan bir içi dolu iyi huylu tümördür. Diğer birçok içi dolu yumurtalık tümörünün aksine fibroma hormon üretimiyle ilişkili değildir. Bazı olgularda, kitleyle ilişkili akciğerlerde su toplanması ve karı...
Devamını Okuİyi Huylu Kistik Teratom - Yumurtalık Tümörü
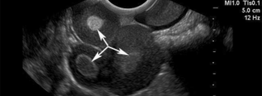
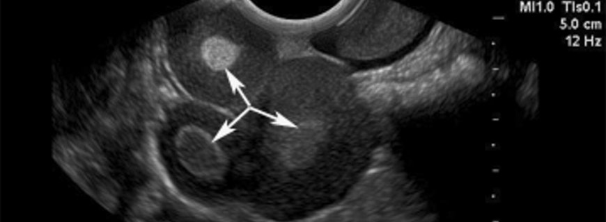
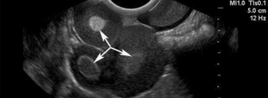
İyi huylu kistik teratom yumurtalığın germ hücrelerinden gelişen yavaş büyüyen bir tümördür. Teratomun boyutları birkaç milimetreden 25 cm çapa kadar değişebilir. Çoğu teratom 10 cm\'den küçüktür ve tek taraflı gelişir. Hastaların %10 ila 15\'inde i...
Devamını OkuStruma Ovarii - Yumurtalık Kisti
Struma Ovarii Nedir ve Neden oluşur?Struma ovarii tiroid dokusunun diğer elemanlardan fazla geliştiği ve baskın doku olduğu bir teratomdur. Yumurtalıkta tiroid dokusunun tümör benzeri büyümesidir, %2-3\'ü tek taraflıdır ve çapları 10 cm\'den azdır. B...
Devamını OkuKötü Huylu Teratom
Diğer bir deyişle olgunlaşmamış teratomlar olarak bilinen bu kistler grade 1, 2 veya 3 olarak sınıflandırılırlar. Bu tümörlerin içi sıklıkla doludur, arada kistik alanlar içerebilir ve patolojik olarak olgunlaşmamış veya embriyonik görünen doku içer...
Devamını OkuSeröz Kistadenokarsinoma
Seröz kistadenokarsinoma yumurtalığın en sık görülen kötü huylu tümörüdür. Kadınlarda görülen kanserlerin yaklaşık %6\'sını oluşturmaktadır. Bununla birlikte, geç tanı konması ve yüksek risk gruplarının belirlenememesi nedeniyle kadınlardaki kanser...
Devamını OkuGranüloza Hücreli Tümörler
Granüloza Hücreli Tümörler Nedir ve Neden Ortaya Çıkmaktadır?Granüloza Hücreli tümörler östrojen üreten tümörlerdir. Büyük çoğunluğu iyi huyludur. Granüloza hücreli tümörlerin oluşumunda spesifik bir neden gösterilememiştir ve nedenleri muhtemelen ...
Devamını Oku