Teka Lutein Kistleri
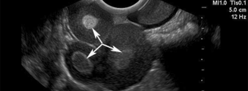
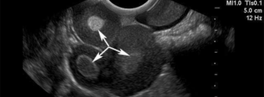
Teka Lutein Kisti Nedir ve Neden Oluşur?Teka lutein kistleri yumurtalıkları ılımlıdan çok büyüğe kadar büyüten fizyolojik yumurtalık kistleridir. Genellikle yumurtalıkların hormonlar tarafından çok uyarılmasına (tüp bebek tedavisindeki gibi) ya da yu...
Devamını OkuLuteoma
Luteoma Nedir ve Neden Oluşurlar?Luteomalar gebelikte yumurtalıktaki bazı hücrelerin sık görülen aşırı büyümesidir .Teka lutein kistlerine benzer bir durumdur. Luteoma gebelik hormonlarına yumurtalık dokusunun abartılmış bir yanıtının sonucu olarak ...
Devamını OkuSeröz Kistadenoma
Seröz Kistadenoma Nedir?Seröz kistadenoma tüm yaşlarda yumurtalıkların en sık iyi huylu tümörüdür. Fizyolojik kistlerdekinin aksine, bu tümörler kötü huylu dönüşüm potansiyeline sahiptirler. %15 kadarı iki taraflıdır. Kistlerin ortalama boyutları 5...
Devamını OkuMüsinöz Kistadenomalar
Müsinöz Kistadenoma Nedir ve Neden Oluşur?Müsinöz kistadenomalar yapışkan, kalın jelatin bir materyalle doludurlar. Seröz kistadenomalara benzer şekilde müsinöz tümörler epitel hücrelerinin (çölemik epitel) anormal gelişiminin sonucu olarak ortaya ç...
Devamını OkuEndometrioma - Yumurtalık Kisti
Endometriomalar, rahim iç duvarına benzer tipte bezlerin bulunabildiği iyi huylu, bir yumurtalık kistidir. Bu hastalarda genellikle karın içinin diğer bölgelerinde de endometriozis denen benzer hastalığa ait kanıtlar mevcuttur. Endometriozisin baskın...
Devamını OkuBrenner Hücreli Tümör
BRENNER HÜCRELİ TÜMÖRYumurtalığın en sık görülen iyi huylu içi dokuyla dolu (kistik olmayan) tümörüdür. Son yıllara kadar iyi huylu bir tümör olduğu düşünülmekteydi. Son yıllarda kötü huylu Brenner tümörleri yayınları çoğalmıştır. Brenner tümörleri s...
Devamını Oku