Rahim Kanseri (Endometrial Kanser)
Endometrial Kanserin Sıklığı Nedir?Rahim kanseri en sık görülen jinekolojik kanserdir. Amerika Birleşik Devletleri’nde her yıl yaklaşık 40.000 kadın rahim kanseri tanısı alır ve yine her yıl için 7000\'den fazla kadının ölümünden sorumludur. Hayat b...
Devamını OkuYumurtalık Kanseri (Over Kanseri)
Yumurtalık Kanserinin Sıklığı Ne Kadardır?Yumurtalıkta gelişen iyi ve kötü huylu tümöral kitleler kadınların %5 ila 7\'sinde görülmektedir. A.B.D’de aşağı yukarı her 70 kadından birinde hayatları boyunca yumurtalık kanseri ortaya çıkmaktadır. Amerika...
Devamını OkuYumurtalık Kanserinin Sıklığı Ne Kadardır?
Yumurtalıkta gelişen iyi ve kötü huylu tümöral kitleler kadınların %5 ila 7\'sinde görülmektedir. A.B.D’de aşağı yukarı her 70 kadından birinde hayatları boyunca yumurtalık kanseri ortaya çıkmaktadır. Amerikan Kanser Derneği\'ne göre 2006 yılında yak...
Devamını OkuYumurtalık Kanserinin Gelişmesiyle İlgili Olan Faktörler Nelerdir?
Üreme, davranışsal ve genetik faktörlerin kansere dönüşümü etkiledikleri görülmektedir. Primer üreme ile ilgili risk faktörü doğum yapmamış olmaktır. Tek bir doğumla sonuçlanan gebelik bile yumurtalık kanseri gelişme riskini %40 ve takip eden diğer ...
Devamını OkuHangi Belirtiler Yumurtalık Kanseri İle ilişkilidir?
Yumurtalık kanserinin başlangıcı sinsidir, tanı esnasında yumurtalıklara sınırlı hastalık varlığı yalnızca %25 olgudadır. Belli belirsiz olmakla birlikte karında rahatsızlık ve şişkinlik, hazımsızlık, çabuk doyma, bulantı, kabızlık, kasıklarda bası...
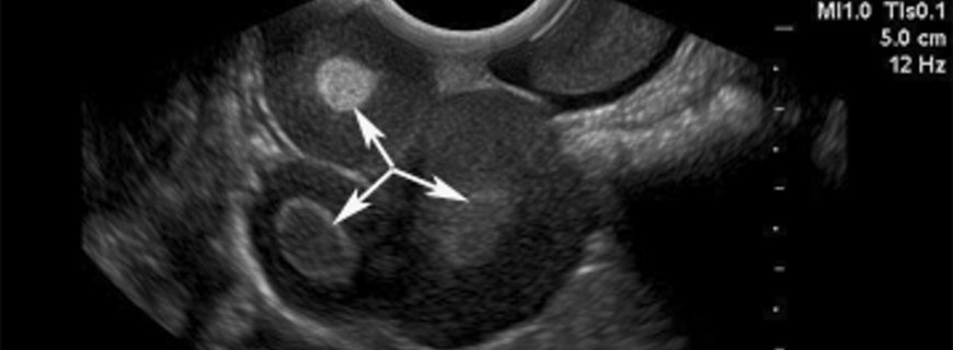
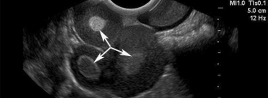
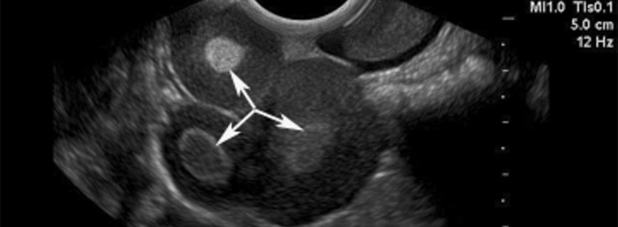
Devamını OkuYumurtalık Kitleleri Nasıl Değerlendirilir?
İlgili belirtilerin ve daha önce belirtilen risk faktörlerinin sorgulanmasını içeren bir hikaye alınır ve genel fizik muayene yapılır. Yumurtalık kanseri ile ilgili genel fizik muayene bulguları, akciğerde sıvı birikimi, karında sıvı birikimi veya k...
Devamını Oku